
ماموگرافی یک نوع تصویر برداری با اشعه X است که برای بررسی سرطان سینه در زنان انجام می شود. ماموگرافی عکس هایی به نام ماموگرام ایجاد می کند که تومورهایی را نشان می دهد که قابل لمس نیستند و هم چنین موارد غیر طبیعی دیگر را هم در سینه نشان می دهد. ماموگرافی سرطان پستان را ده سال زودتر از زمانی که توده قابل لمس باشد تشخیص می دهد. این روش همراه با آزمایشات کلینیکی و خودآزمایی های ماهیانه پستان جهت تشخیص زودهنگام سرطان الزامی است. سونوگرافی به هیچ وجه جایگزین ماموگرافی نمی شود.
انواع اصلی ماموگرافی
ماموگرافی غربالی: برای بررسی سرطان سینه در خانم هایی که علائم ندارند انجام می شود و هدف آن تشخیص زودهنگام سرطان سینه است.
ماموگرافی تشخیصی: برای پاسخ به سوال خاص و یا بررسی علامت خاصی است و در صورت موارد زیر تجویز می شود:
- ماموگرام غربالگری ناحیه مشکوکی را نشان بدهد.
- توده ای در سینه پیدا کنید.
- علامت غیر طبیعی داشته باشید.
- برای گرفتن تعداد بیشتر عکس از سینه.
آمادگی لازم قبل از ماموگرافی
بهتر است ماموگرافی را دو هفته بعد از تمام شدن پریودتان انجام بدهید چون در آن زمان حساسیت سینه کمتر می شود. یک هفته قبل از انجام ماموگرافی کافئین نخورید. می توانید همان روز از مسکن استفاده کنید.
از این موارد قبل از انجام ماموگرافی استفاده نکنید اسپری، پودر، کرم، عطر. چون لکه هایی روی پوست به جا می گذارد که در جواب ماموگرافی مشکل ایجاد می کند. اگر سابقه ایمپلنت و یا جراحی سینه دارید به کارشناس اعلام کنید و اگر قبلا ماموگرافی انجام دادید عکس هایتان را به کارشناس نشان دهید. اگر هم باردارید حتما باید به کارشناس اعلام کنید. اشعه ایکس مورد استفاده در ماموگرافی بسیار پایین است با این حال افراد باردار باید پیش از انجام این کار پزشک خود را مطلع کنند چون این کار می تواند برای جنین خطرناک باشد خصوصا در سه ماهه اول بارداری.
ماموگرافی چگونه انجام می شود؟
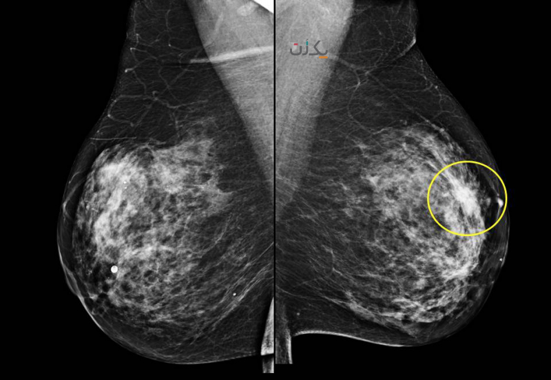
در طی ماموگرام سینه فرد روی صفحه فلزی قرار می گیرد و توسط پدال فلزی کمپرس می شود. سپس اشعه ایکس به سینه وارد می شود و نتایج به صورت عکس آماده می شود که به این عکس ها ماموگرام می گویند. در ماموگرام بافت های چربی شفاف به نظر می رسند و به رنگ سفید یا طوسی روی زمینه مشکی هستند. عکس ها از هر طرف سینه گرفته می شود اما ممکن است برای نواحی مشکوک عکس های بیشتری گرفته شود. بهتر است قبل از آزمایش از عطر، اسپری و کرم استفاده نکنید چون تصاویر را به هم می زند. هزینه ی این آزمایش در سال 98 حدودا 150 هزار تومان بوده است.

انواع ماموگرافی
ماموگرافی دیجیتال:
در این نوع ماموگرافی اشعه ایکس به صورت سیگنال های الکترونیکی به کامپیوتر، عکس را تولید می کند. فواید آن این است که وضوح تصویر به راحتی قابل تغییر است، راحت تر به پزشکان دیگر فرستاده می شود و با کمک ابزار هایی، ناهنجاری ها بهتر تشخیص داده می شود و در تشخیص سرطان سینه دقیق تر است.
ماموگرافی 3D:
موقع گرفتن عکس باید چند ثانیه بیشتر صبر کنید چون اشعه X از تمام زوایا عکس می گیرد. این نوع ماموگرافی زیاد استفاده نمی شود.
تفسیر جواب ماموگرافی
ماموگرام عکس های سیاه و سفید از بافت سینه است که ممکن است موارد زیر را داشته باشد:
- تجمع کلسیم در لوله ها و دیگر قسمت های بافت
- توده نواحی نامتقارن در ماموگرام
- نواحی با چگالی زیاد در بافت سینه
- تفسیر جواب ماموگرافی
در ماموگرافی نقاط کلسیفیه (متراکم و ناهنجار ) به صورت نقاط سفید و چربی به رنگ خاکستری دیده می شود. این ناهنجاری ها در افراد سالمند به دلیل بافت چربی که این افراد دارند، راحت تر دیده می شوند. کیست های خوش خیم معمولا گردن و دیواره های منظم دارند اما توده های بدخیم نامنظم هستند. ولی برای اطمینان از خوش خیم یا بدخیم بودن آن باید سونوگرافی نیز انجام شود.
سیستم تشخیص بین المللی ماموگرافی BI RADS نام دارد و مراحل مختلفی دارد که طبق این مراحل پزشک تصمیم می گیرد که پیگیری بعدی به چه صورت باشد مثلا نیاز به عکس برداری مجدد هست یا نه.

چه کسانی باید ماموگرافی انجام دهند؟
طبق تحقیقات افراد بالای 40 سال باید هر دو سال ماموگرافی انجام بدهند. کسانی که سابقه فامیلی و خانوادگی سرطان پستان را دارند از سن 35 سالگی به بعد باید هر سال غربالگری را انجام بدهند. بهترین زمان برای ماموگرافی بعد از اتمام پریود است چون در این زمان حساسیت پستان ها بسیار کم است.
عوارض ماموگرافی
چون در ماموگرافی از اشعه ایکس استفاده می شود و فرد در معرض مقدار کمی اشعه قرار می گیرد. اما فواید ماموگرافی نسبت به ریسک و عوارض آن بیشتر می باشد و در صورت تشخیص توده ی بدخیم می توان قبل از پخش شدن آن را خارج کرد.
چرا در ماموگرافی سینه ها باید فشرده شود؟
فشرده شدن احتمال تاری عکس به دلیل حرکت کردن فرد را کاهش می دهد. هم چنین شکل سینه را منظم می کند تا اشعه ایکس مسافت کمتری را طی می کند و مقدار دوز دریافتی بدن نیز کم می شود. با این کار کیفیت عکس ها نیز افزایش پیدا می کند. هم چنین فشرده کردن سینه ناهنجاری های کوچک را نیز نشان می دهد.
ماموگرافی درد دارد؟
ممکن است در هنگام فشار سینه ها کمی درد و احساس فشار داشته باشید اما مقدار آن کوتاه است. ممکن است لازم باشد در هنگام عکس گرفتن نفستان را نگه دارید.
- بهتر است ده روز بعد از پریود این آزمایش را انجام دهید تا حساسیت سینه کمتر باشد.
- قبل از آزمایش قرص ضد التهاب و مسکن بخورید.
- کافئین مصرف نکنید.
- می توانید از ژل های بیحسی در ناحیه سینه استفاده کنید.
محدودیت های انجام ماموگرافی
هرچند که ماموگرافی بهترین روش غربالگری و تشخیص سرطان پستان است اما همیشه قابلیت تشخیص همه ی سرطان ها را ندارد و در صورت صلاح دید پزشک بررسی های دیگر نیز باید انجام شود. هم چنین درصدی از ماموگرافی ها امکان دارد توده ای را به عنوان توده سرطانی تشخیص بدهد در حالی که سرطانی در کار نیست!!!! به این حالت می گویند ماموگرافی جواب مثبت کاذب دارد.

تصویر دستگاه ماموگرافی





